
Call us today on 01302 719201 and start your invisalign journey!
Call 01302 719201 or click here to get started!From just 80p per day, Invisalign is now more affordable than ever.
Exact treatment costs are dependent on the complexity of your individual case and we encourage you to pop in for a consultation. Prices start from £950.
Invisalign could cost you from as a little as 80p per day – less than your daily cup of coffee, so skip the double espresso (save your teeth) and get your smile looking amazing!
Nothing is as important as a genuine and heartfelt smile. Whether in your professional life or when you are out socialising, an attractive smile can make you feel happier and more relaxed – as well as making the right impression!
Getting Invisalign is now easier than ever! Choose from the following payment Options
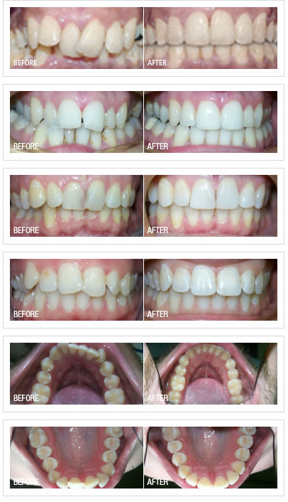
If you’ve ever thought about how improving your smile could help you to feel more confident, Invisalign®might be for you. With Invisalign, you can have the smile you always wanted, without traditional fixed braces.
What is Invisalign?
The Invisalign system straightens your teeth with a series of custom-made clear aligners, which are comfortable and practically invisible. It was developed by Align Technology together with leading Orthodontists. And it works – over 1.4 million patients worldwide have made Invisalign their clear choice.
The clear plastic aligners are custom made for each patient, following discussions with their dentist and a detailed diagnosis based on clinical experience and computer analysis. Before treatment begins, the whole programme will have been planned, so that each set of aligners can be replaced after two weeks with the next, slightly different set. Provided the patient commits fully, and wears the aligners for 22-23 hours per day, the teeth will slowly but surely be shifted into the desired position.
We are an invisalign expert clinic in doncaster – come and see how it could change your smile!
Click a tab below to see the process in detail…
At your initial consultation we will examine your teeth, and discuss what you need and what results you are aiming to achieve. Any questions about your treatment will be answered here to assure you of any issues or risks associated with the treatment. We will also discuss whether re-alignment via Invisalign is suitable for you.
Once we have decided that re-alignment of the teeth is necessary and desirable, we will take impressions and photographs of your teeth to be used by the laboratory to design and manufacture custom made Invisalign aligners. (At this stage, your treatment with us will have started, as we will have decided to begin work on the teeth as we will be taking impressions.)
Before the treatment process you will be shown a computer model of the smile you are aiming for, to make you aware of what is actually going to happen to your teeth, and to give you total reassurance to allow you to proceed with the treatment. At this stage a final decision will be made on the treatment and whether you are going to go ahead.
You wear your aligners about 20 to 22 hours everyday, except to eat, brush, and floss, or for a specific occasion. Your Invisalign aligners are replaced, every two weeks, and we will see you every six to 8 weeks, to ensure that progress is being made as expected, and to answer any questions you may have. Some treatments can take less time depending on the level of movement required – our invisalign clinic in doncaster is well equipped to deal with any issues you may have.
Why choose Bawtry Dental Clinic for Invisalign?
Bawtry Dental Clinic is one of the leading providers of Invisalign in doncaster, offering full specialist advice on all aspects of the Invisalign procedure. We are fully trained in the Invisalign end-to-end process, from explaining 3D imaging to providing advice on teeth movement and final results.
On top of this, we offer one of the lowest prices for a complete, all inclusive fitting of Invisalign – our price is unbeatable for what we include.
- A Comprehensive Treatment plan
- 3D Modelling Guidance – What to expect from your Treatment
- All Retainers, Follow-Up Appointments included
- Professional Enlighten Teeth whitening at a reduced rate
For further information on invisalign and to book your appointment contact us now.
Call 01302 719201 or click here to get started!
invisalign doncaster
invisalign clinic in doncaster
invisalign braces in doncaster
invisalign rotherham








